CASE REPORT

J. Cutan. Immunol. Allergy, 20 March 2026

Volume 9 - 2026 | https://doi.org/10.3389/jcia.2026.16180

Case Report: A case with Xeroderma pigmentosum type F manifested a mild phenotype due to a deep intronic variant of the ERCC4 gene

  • MT

    Mei Tochigi 1

  • YT

    Yuko Takamiya 1

  • MM

    Megumi Morita 1

  • KA

    Kazushi Anzawa 1

  • AS

    Akira Shimizu 1*

  • ST

    Sumihito Togi 2

  • HU

    Hiroki Ura 2

  • YN

    Yo Niida 2

  • 1. Department of Dermatology, Kanazawa Medical University, Uchinada, Japan

  • 2. Center for Clinical Genomics, Kanazawa Medical University Hospital, Uchinada, Japan

Abstract

Xeroderma pigmentosum (XP) is a disorder that causes sun sensitivity, pigmented spots in sun-exposed areas, and neurological symptoms due to an inborn error in the DNA repair process for damage caused by sun exposure. We report a case with XP type F (XPF) diagnosed in a patient in her 70s. We identified that she was homozygous for a deep intronic variant of ERCC4, NC_000016.10(NM_005236.3): c.207+196T>A. This variant causes aberrant mRNA splicing, which confirmed the diagnosis of XP. Seven cases with the same intronic variant have been reported in Japan. In our case, we independently analyzed the qualitative and quantitative aspects of abnormal mRNA splicing, which had not been reported previously, and found approximately 7.7% of the mRNA retained normal splicing. Furthermore, immunostaining of patient’s skin with anti-ERCC4/XP antibody confirmed that the ERCC4 protein was partially expressed rather than being completely absent. This partial expression was predicted to be associated with the relatively mild phenotype observed in our patient.

Introduction

Xeroderma pigmentosum type F (XPF) is a rare form of XP, with a frequency of approximately 1% of all XP patients worldwide. In contrast, the frequency of XP in Japan is reported to be as high as 4% [1]. ERCC4 encodes ERCC4 protein which is mutated in XPF. Most XPF patients are characterized by symptoms such as sun sensitivity, skin freckling, and delayed cutaneous malignancies. In addition, some XPF patients develop delayed neurological manifestations with or without skin cancer. Neurological features reported in XPF include gait disturbance, ataxia, neuropathy, chorea, sensorineural hearing loss, cognitive decline, and cerebral and cerebellar atrophy [2–4]. It has been suggested that XP patients are underdiagnosed because they often present with a relatively mild clinical course, and it is assumed some cases are missed due to lack of precise diagnostic approach [1]. We report the results of genetic analysis to clarify factors that may contribute to this mild disease phenotype, as well as immunostaining results to confirm ERCC4 protein expression.

Case report

The patient, a woman in her 70s, had experienced blistering upon sun exposure since childhood, and many pigmented patches appeared in sun-exposed areas as she grew older (Figure 1A). Her mother and sister also had multiple pigmented patches on exposed areas and blistering due to sun exposure. Her parents were first cousins. A brownish patch with hyperkeratosis the size of a grain of rice was found on the dorsal aspect of the right hand over the ulna, and a skin biopsy was performed on suspicion of solar keratosis (Figures 1B,C). Histopathological examination revealed hyperkeratosis, irregularly elongated epidermal rete ridges, and atypical cells in the basal layer of the epidermis. The superficial dermis showed infiltration with numerous lymphocytes, and a diagnosis of solar keratosis was made (Figure 1D). Based on these clinical findings, XP was suspected, and genetic analysis was performed. Written informed consent for genetic analysis and publication of this report was obtained from the patient. The target conditions analyzed were XP, XP combined with Cockayne syndrome, Cockayne syndrome, and UV hypersensitivity syndrome. The genes analyzed were ERCC1, ERCC2, ERCC3, ERCC4, ERCC5, ERCC6, ERCC8, DDB2, POLH, XPA, and XPC.

FIGURE 1

The genes associated with the target conditions were screened using long-range PCR-based targeted DNA sequencing (very long amplicon sequencing, vLAS). Several variants were detected in the vicinity of exons of targeted genes; however, these were all considered as normal polymorphisms. Also, no structural abnormalities (large deletions/duplications) within the genes were detected.

In cases such as the present case, where there was suspicion of an autosomal recessive genetic disease and consanguineous marriage between the parents, we hypothesized there might be sites of homozygous inheritance of a pathogenic variant from the same ancestral origin, and that could be detected as iso-disomic area by SNP array analysis. Consistent with this hypothesis, the SNP array detected an iso-disomic area in only ERCC4 among the genes tested [5], which was suggested to be the ERCC4 gene responsible for the disease (Supplementary Figures 1A,B).

We screened for variants that could cause splicing defects using in silico splicing prediction (SpliceAI), and NC_000016.10(NM_005236.3):c.207+196T>A was assigned a donor gain score of 0.41. This single nucleotide substitution was confirmed by next-generation sequencing and Sanger sequencing. Reverse transcription polymerase chain reaction (RT-PCR) amplification of the full-length cDNA of ERCC4 using CoLAS (Combined Long-Amplicon-Sequence) showed that c.207+196T>A created a new splicing donor site in intron 1. In our case, exon 1 was extended to include 192 bases of intron 1, NM_005236.3:r.207_208ins[207+1_207+192]. Sanger sequencing of the RT-PCR product also confirmed that the aberrant splicing product contained 192 bases of intron 1, which was consistent with the CoLAS results (Supplementary Figure 2). The three bases upstream of the deep intronic variant served as the splicing donor site signal and were not included in the aberrant mRNA; the intron 1 sequence included in the aberrant mRNA was 192 bases. This insertion sequence was predicted to be non-functional even if expressed as a protein due to the appearance of a premature termination codon at position 19, leading to early translation termination. Therefore, the expected effect on the protein was NP_005227.1:p.Glu69_Glu70insTer19. Based on these results, the deep intronic variant detected in this study was described in HGVS format as NC_000016.10(NM_005236.3):c.207+196T>A r.207_208ins[207+1_207+192] p.Glu69_Glu70insTer19.

In this genetic analysis, we further performed local RT-PCR between exons 1-2 to determine the breakpoint sequence of abnormal splicing and to quantify the ratio of abnormal to normal splicing. Quantification by next-generation sequencing (Sashimi plot) and TapeStation revealed that the ratio of abnormal splicing was approximately 12-fold higher than normal splicing, suggesting 7.7% of the total mRNA underwent normal splicing (Supplementary Figures 3A, B; Supplementary Table 1). The datasets generated and/or analyzed during the current study will be deposited in the NBDC Human Database (National Bioscience Database Center, Japan) and will be made available under controlled access upon acceptance of the manuscript.

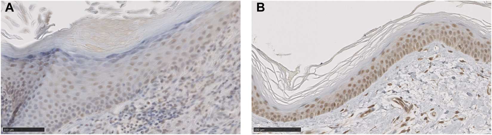
Since normal splicing would be expected to produce ERCC4 protein expression, immunostaining was performed using anti-ERCC4/XPF antibody (LSBio, CA, USA). The results showed that epidermal cell nuclei were stained in normal skin, whereas cell nuclei in our case showed reduced staining (Figures 2A,B). This suggests that reduced ERCC4 protein expressed in the patient’s skin.

FIGURE 2

Discussion

Genetic analysis revealed that our case was homozygous for the ERCC4 deep intronic variant and was diagnosed as XPF. Seven cases of homozygosity for a similar deep intronic variant have been reported in Japan and were summarized in a paper by Senju et al. published in 2023 [1, 6]. Age at diagnosis of XPF ranged from 35 to 71 years, but the patients were relatively old, with a mean age of 51 years. The age at diagnosis in our case was 71 years, which was comparable to the oldest previously reported case. Five patients had skin malignancies, with basal cell carcinoma/keratoacanthoma among the previously reported cases and solar keratosis in our case. Comparison of the seven previously reported cases with our case revealed no major clinical differences, and patients with this pathogenic deep intronic variant tended to have relatively mild disease among all XP cases. There was no mention of whether the previously reported cases involved consanguineous marriages.

In a previous report, immunoblotting using fibroblasts from a patient confirmed that no abnormal protein derived from intronic mutants was detected and that a small amount of normal XP protein was expressed [1]. Instead, we analyzed the ratio of ERCC4 aberrant splicing in blood cells and found the ERCC4 aberrant splicing resulted in early termination of translation and no protein expression. However, reduced normal ERCC4 mRNA translated into ERCC4 protein in patient’s skin and is responsible for the relatively mild clinical presentation, which has not been previously reported. It is interesting that even with slight expression of ERCC4, symptoms are mild. This variant is thought to be a founder mutation in Japanese people and may be overlooked in dermatological clinical practice. If variants cannot be identified by conventional genetic analysis in Japanese mild XP patient, this deep intron variant should be examined.

Statements

Data availability statement

The datasets generated and/or analyzed during the current study will be deposited in the NBDC Human Database (National Bioscience Database Center, Japan) and will be made available under controlled access upon acceptance of the manuscript.

Ethics statement

The studies involving humans were approved by Institutional review board of Kanazawa medical university. The studies were conducted in accordance with the local legislation and institutional requirements. The participants provided their written informed consent to participate in this study. Written informed consent was obtained from the individual(s) for the publication of any potentially identifiable images or data included in this article.

Author contributions

MT and AS contributed to the clinical management and treatment of the patient. YT, MM, and KA contributed to the preparation of pathological specimens. ST, HU, and YN contributed to the genetic analyses. All authors contributed to the article and approved the submitted version.

Funding

The author(s) declared that financial support was not received for this work and/or its publication.

Conflict of interest

The author(s) declared that this work was conducted in the absence of any commercial or financial relationships that could be construed as a potential conflict of interest.

Generative AI statement

The author(s) declared that generative AI was not used in the creation of this manuscript.

Any alternative text (alt text) provided alongside figures in this article has been generated by Frontiers with the support of artificial intelligence and reasonable efforts have been made to ensure accuracy, including review by the authors wherever possible. If you identify any issues, please contact us.

Supplementary material

The Supplementary Material for this article can be found online at: https://www.frontierspartnerships.org/articles/10.3389/jcia.2026.16180/full#supplementary-material

References

  • 1.

    SenjuCNakazawaYOsoTShimadaMKatoKMatsuseMet alDeep intronic founder mutations identified in the ERCC4/XPF gene are potential therapeutic targets for a high-frequency form of Xeroderma pigmentosum. Proc Natl Acad Sci U S A (2023) 120:e2217423120. 10.1073/pnas.2217423120

  • 2.

    GreggSQRobinsonARNiedernhoferLJ. Physiological consequences of defects in ERCC1-XPF DNA repair endonuclease. DNA Repair (Amst) (2011) 10:781–91. 10.1016/j.dnarep.2011.04.026

  • 3.

    MoriwakiSNishigoriCImamuraSYagiTTakahashiCFujimotoNet alA case of Xeroderma pigmentosum complementation group F with neurological abnormalities. Br J Dermatol (1993) 128:91–4. 10.1111/j.1365-2133.1993.tb00154.x

  • 4.

    TofukuYNobeyamaYKamideRMoriwakiSNakagawaH. Xeroderma pigmentosum complementation group F: report of a case and review of Japanese patients. J Dermatol (2015) 42:897–9. 10.1111/1346-8138.12942

  • 5.

    NomuraFShimizuATogiSUraHNiidaY. SNP array screening and long range PCR-based targeted next generation sequencing for autosomal recessive disease with consanguinity: insight from a case of Xeroderma Pigmentosum Group C. Genes (Basel) (2023) 14:2079. 10.3390/genes14112079

  • 6.

    NishigoriCIshizakiKTakebeHImamuraSHayakawaM. A case of Xeroderma pigmentosum group F with late onset of clinical symptoms. Arch Dermatol (1986) 122:510–1. 10.1001/archderm.1986.01660170034016

Summary

Keywords

deep intronic variant, ERCC4, immunostaining, mild phenotype, Xeroderma pigmentosum

Citation

Tochigi M, Takamiya Y, Morita M, Anzawa K, Shimizu A, Togi S, Ura H and Niida Y (2026) Case Report: A case with Xeroderma pigmentosum type F manifested a mild phenotype due to a deep intronic variant of the ERCC4 gene. J. Cutan. Immunol. Allergy 9:16180. doi: 10.3389/jcia.2026.16180

Received

03 January 2026

Revised

02 March 2026

Accepted

04 March 2026

Published

20 March 2026

Volume

9 - 2026

Updates

Copyright

*Correspondence: Akira Shimizu,

Disclaimer

All claims expressed in this article are solely those of the authors and do not necessarily represent those of their affiliated organizations, or those of the publisher, the editors and the reviewers. Any product that may be evaluated in this article or claim that may be made by its manufacturer is not guaranteed or endorsed by the publisher.

Outline

Figures

Cite article

Copy to clipboard


Export citation file


Share article