ORIGINAL RESEARCH

Acta Virol., 24 February 2026

Volume 70 - 2026 | https://doi.org/10.3389/av.2026.15087

Identification of host proteins interacting with NS3 protein of Bluetongue virus

  • 1. Division of Veterinary Biotechnology, ICAR-Indian Veterinary Research Institute, Izatnagar, Uttar Pradesh, India

  • 2. Centre for Animal Disease Research and Diagnosis, ICAR-Indian Veterinary Research Institute, Izatnagar, Uttar Pradesh, India

  • 3. ICAR-Indian Veterinary Research Institute, Bengaluru, Karnataka, India

Article metrics

129

Views

50

Downloads

Abstract

A wide range of species contract a haemorrhagic disease caused by Bluetongue virus (BTV), which is transmitted by hematophagous midges of Culicoides species. The virus shows variation in its pathogenicity and virulence between the mammalian and insect hosts, implicating the role of host proteins in its life cycle. NS3, a versatile protein of BTV, performs a major role in viral egress by acting as perforin. Multifunctional roles of NS3 have also been reported in viral pathogenesis, but there are critical gaps in explaining the exact mechanisms of its crosstalk with the host, creating the space for NS3-host interaction studies. In this study, we report the screening of host proteins interacting with NS3 protein of BTV using yeast-two hybrid (Y2H) assay. An ovine cDNA library derived from sheep lung and the truncated NS3 (NS3t) bait were constructed and evaluated for competency parameters. Following stringent screening, 37 putative host interaction partners were identified, of which eight proteins were selected for validation using alternative yeast-based assays; seven of these interactions were confirmed as positive. NAP1L1/NS3 interaction was further verified with GST pull-down, co-immunoprecipitation and mammalian two-hybrid assays. The results indicate that NAP1L1, a protein involved in nucleosome assembly and cell cycle regulation, interacts with the BTV NS3 protein.

Introduction

Bluetongue (BT) is an arthropod-borne infectious viral disease caused by bluetongue virus (BTV), a type species of genus Orbivirus belonging to the family Sedoreoviridae (Attoui et al., 2009; Duan et al., 2022; Matthijnssens et al., 2022). It affects both domestic as well as wild ruminants but has a more serious impact on sheep, leading to haemorrhagic syndrome, abortion, and congenital deformities (Maclachlan et al., 2009; Osburn et al., 1971). The disease is primarily transmitted by Culicoides midges, although vertical and horizontal transmission has also been observed (López-Olvera et al., 2010; Menzies et al., 2008; van der Sluijs et al., 2016). BTV is a non-enveloped virus with a segmented, double-stranded (ds) RNA genome of ∼19.2 kb. To date, 36 (including putative) serotypes, 24 notifiable serotypes, and 3 more or less “serotyped” atypical serotypes, and 9 atypical putative novel serotypes have been identified (Ries et al., 2021). However, none have been reported to offer cross-protection.

The 10 genomic segments of BTV encode seven structural (SPs) and five non-structural proteins (NSPs), each performing a distinctive role in viral morphogenesis and pathogenesis (Ratinier et al., 2011; Stewart et al., 2015). Despite its small size, BTV plays diverse and versatile functions during replication, highlighting the role of host factors in its survival (Patel and Roy, 2014). Pathogenesis of BTV differs in mammalian and insect hosts, suggesting the involvement of host proteins (Mortola et al., 2004). Notably, the NS3 protein of BTV executes multiple functions crucial for virus survival. As the only glycoprotein in BTV, NS3 plays a critical role in virus assembly, maturation, and intracellular trafficking. It modulates membrane permeability, creates pores through lipid bilayers, and facilitate virus release, functioning as a viroporin (Han and Harty, 2004; Labadie et al., 2020). NS3 is considered an important virulent factor in host protein shutdown (Janowicz et al., 2015). However limited information is available concerning the interaction of NS3 with host proteins, highlighting the need for further studies on BTV NS3-host protein-protein interactions (PPI).

The yeast two-hybrid (Y2H) system is the most widely used technique to screen the PPI (Brückner et al., 2009). It is an in vivo genetic approach based on the reconstitution of a functional transcription factor when two proteins or polypeptides of interest interact (Fields and Song, 1989) and has been utilized to study virus-host PPI for several viruses (Gladue et al., 2012; Mahajan et al., 2021; Ohta et al., 2018; Paiano et al., 2019). A well-characterized and high-quality cDNA library is imperative for conducting Y2H to identify interacting host proteins. For BTV, cDNA libraries from human, bovine, and Culicoides origin has been previously used for BTV-host interaction studies (Beaton et al., 2002; Pourcelot et al., 2019; Fablet et al., 2022). To date, the cDNA library from the susceptible host, i.e., sheep, has not been employed in screening BTV-host PPI studies. In this study, we constructed a yeast two-hybrid compatible cDNA library of sheep origin and screened for the host cellular proteins interacting with the BTV NS3. Using the developed library, we identified seven different PPIs with BTV NS3, which were verified by yeast-based assays. We found that NAP1L1, a member of the nucleosome assembly protein, strongly interacts with BTV NS3 and this was further confirmed by the GST pull-down assay and the Mammalian two-hybrid (M2H) system.

Materials and methods

Virus, cell lines, and tissue

BTV serotype 10 and BHK 21 cells were procured from the repository (CADRAD, ICAR-IVRI). The BHK 21 cells were cultured in Glasgow minimum essential medium (GMEM, Sigma, USA) supplemented with 2% foetal bovine serum (Hyclone, Thermo Scientific, USA). Fresh BTV 10 cultured on BHK 21 cells was utilized to amplify the NS3 coding region. HEK 293 T cells were employed for transfection in GST pull-down and M2H assays. A fresh sheep lung was obtained from an abattoir at IVRI, Izatnagar for library construction. The tissue was rapidly frozen in liquid nitrogen and stored at −80 °C for further use. The tissue sample was tested for the presence of BTV RNA using real-time reverse transcriptase PCR (q-RT-PCR) (Maan et al., 2016).

cDNA library construction and characterization

The frozen lung tissue was homogenized to extract total RNA using the RNeasy® Mini kit (Qiagen, Hilden, Germany). The poly (A) mRNA was extracted using MN-NucleoTrap® mRNA kit (Machery-Nagel, Germany) according to the manufacturer’s instructions followed by single-stranded (ss) cDNA synthesis using SMART III oligo (5′- AAG​CAG​TGG​TAT​CAA​CGC​AGA​GTG​GCC​ATT​ATG​GCC​GGG-3′), CDS III primer (5′-ATTCTAGAGGCCGAGGCGGCCGACATG-d(T)30VN-3′) and SMART MMLV Reverse Transcriptase provided in Make Your Own “Mate & Plate” Library System (Clontech, USA). The double-stranded (ds) cDNA was amplified by long distance PCR (LD-PCR) using Advantage 2 PCR kit (Clontech, USA) and size-fractioned using CHROMA-SPIN TE-400 columns (Clontech, Takara, USA). Subsequently, the SmaI-linearized pGADT7-rec vector and purified ds cDNA were co-transformed into Saccharomyces cerevisiae (S. cerevisiae) Y187 cells using YeastMaker™ Yeast Transformation System 2 and cultured on SD/-Leu agar plates at 30 °C for 4 days. The resulting transformants were harvested in freezing medium and stored at −80 °C. Following this, the transformed cells (1 mL) were diluted in YPDA medium, and 100 μL of 10−1, 10−2, 10−3, 10−4, and 10−5 dilutions were grown on SD/-Leu plates to estimate library quality parameters. The library’s average insert size and recombination rate were calculated from randomly selected 50 colonies using Matchmaker Insert Check PCR Mix 2 (Clontech, Takara, USA) as described earlier (Mahajan et al., 2015). Plasmids rescued from the selected colonies were re-transformed in competent Escherichia coli (E. coli) DH5α cells and positive transformants were subjected to nucleotide sequencing. The assembled cDNA sequences were submitted to GenBank and annotated for gene ontology (GO) terms using the WEB-based GEneSeTAnaLysiS Toolkit (Liao et al., 2019, WebGestalt).

Bait construction and characterization

BTV 10 virus was introduced to BHK 21 cells, and a truncated form of NS3 (NS3t, consisting of amino acids 1-115) was amplified and inserted into the pGBKT7-BD vector (Clontech, USA) (Chaple et al., 2021). The positive recombinants (pGBKT7-NS3t) were validated and were re-introduced into competent Y2H Gold cells (Gietz et al., 1995). The transformed mixture was cultured on SD/-Trp, SD/-Trp/X-α-gal (SDO/X), and SD/-Trp/X-α-gal/Aureobasidin A (SDO/X/A) agar plates and then placed in incubator at 30 °C for 3-5 days. Additionally, the empty vector control, along with the positive diploid, and negative diploid controls were similarly transformed to assess the bait toxicity and auto-activation. To analyze expression, a single, large colony of pGBKT7-NS3t bait, empty pGBKT7-53 (positive control) and Y2H gold (negative control) was cultured overnight in 5 mL SD/-Trp medium at 30 °C and 230 rpm. The overnight culture was centrifuged, re-suspended in 50 mL YPD medium and incubated again at 30 °C and 230 rpm until an OD600 of 0.4–0.6 was achieved. The protein lysates were prepared by the TCA method according to the Yeast Protocols Handbook (Clontech), and expression was detected using anti-c-myc monoclonal (Clontech, USA) and anti-NS3 polyclonal antibodies (kindly provided by Damian Vituor, ANSES, Paris, France).

Library screening using NS3 bait

The library scale mating of viral bait protein and characterized library was carried out using Matchmaker two hybrid system (Clontech, USA) as per the manufacturer’s protocol. Briefly, a concentrated bait culture containing >1 × 108 cells/mL was combined with the 1 mL aliquot of the characterized library and suspended in 45 mL of 2X YPDA liquid medium. The mixture was incubated at 30 °C with gentle shaking (30-40 rpm) for 20 h. After incubation, the culture was screened for presence of three lobed zygotes and plated on SD/-Trp, SD/-Leu, and SD/-Leu/-Trp (DDO) plates in dilutions of 10−1, 10−2, 10−3, and 10−4 to estimate the various mating parameters. The remaining culture was plated on SD/-Leu/-Trp/X-α-gal/AureobasidinA (DDO/X/A) agar plates and incubated at 30 °C for 3-5 days. The interacting blue colonies that developed on DDO/X/A were selected and transferred to SD/-Leu/-Trp/-Ade/-His/X-α-gal/AureobasidinA (QDO/X/A) agar plates for more rigorous screening. QDO/X/A positive colonies were subjected to colony PCR using Matchmaker Insert Check PCR Mix 2 (Clontech, USA) and amplicons were sequenced with a single pass reading from the 5′end on an ABI 3130 Genetic Analyzer using Big dye terminator v3.1 (Applied Biosystems). The colonies with repetitive sequences and the inserts shorter than 500 bp were excluded. The remaining confirmed colonies were streaked again on DDO/X/A agar plates, and plasmids were extracted from the isolated blue colonies. These prey plasmids were re-transformed into competent E. coli DH5α cells, and the plasmids were rescued for sequence analysis.

Validation of PPI by yeast-based assays

To evaluate the interactions, small-scale mating was conducted between the NS3t bait and each selected prey and diploids were plated on DDO, DDO/X/A and QDO/X/A agar plates, alongside the positive and negative mating controls. The positive interactions were identified by development of blue colonies on QDO/X/A plates. Additionally, the interactions were qualitatively confirmed by β-Gal expression level by colony lift filter assay and ONPG liquid culture assay (Mahajan et al., 2021). To measure the β-Gal expression, a 125-mm sterile grade 40 Whatman filter paper (HiMedia, India) was gently pressed on the colonies patched out on DDO and QDO agar plates, immersed in liquid nitrogen for 10 s, thawed it, and then placed on another filter paper pre-soaked with Z-buffer containing X-gal. The filter papers were incubated at 30 °C until a blue colour appeared (within 8 h). The quantitative determination of the interaction’s strength was carried out with the ONPG assay. The β-Gal expression was determined using the formula: 1,000 × OD420/(t × V × OD600), where OD420 represents optical density at 420 nm due to the yellow colour developed, OD600 is the cell density of the culture, t is the reaction time in minutes, and V is the volume in ml. Each interaction was assessed in triplicate, and β-Gal% was calculated in comparison to the controls. The interactions exhibiting the manifold higher β-Gal% than their respective prey-pGBKT7-BD combination were marked as positive while those with no or minimal variation in respect to their corresponding control were marked as negative.

GST pull-down assay

The DNA fragment NS3t was amplified and sub-cloned in pGEX-4T-1 vector (GE healthcare, USA). Similarly, NAP1L1 was amplified from pGADT7-NAP1L1 plasmid (Supplementary Figure S7) and sub-cloned into pCMV-Myc-N vector (Clontech, USA). The resulting recombinant clones were validated by restriction enzyme (RE) analysis and sequencing. The GST-NS3t protein was expressed in E. coli BL21 (DE3)pLysS and confirmed using an anti-GST antibody (Invitrogen, USA). In parallel, HEK 293 T cells were transfected with Myc-NAP1L1, and expression was assessed using an anti-c-Myc antibody (Clontech, USA). The protein interaction pull down was carried out using the Pierce™ GST Protein Interaction Pull-Down Kit (Thermo Scientific, USA) following the manufacturer’s instructions. Subsequently, the eluted sample was analyzed using anti-GST, anti-c-Myc, and anti-NS3 antibodies.

Co-immunoprecipitation assay

The DNA fragment NS3t was amplified and sub-cloned in pCMV-HA-N vector (Clontech, USA). HA-NS3t plasmid was co-transfected with pCMV-Myc-NAP1L1 in HeLa cells and the cell lysate was harvested 48 h post transfection. The co-IP was performed using Pierce c-Myc-TagIP/Co-IP Kit (Thermo Scientific, USA) as per manufacturer’s instructions. The eluates were then subjected to SDS-PAGE followed immunoblotting using anti-c-Myc, anti-HA and anti-β-actin antibodies.

M2H assay

The M2H assay utilized the Matchmaker™ Mammalian Assay Kit 2 (Clontech, USA) to quantify the secreted alkaline phosphatase (SEAP) level in the supernatant of the mammalian cell culture, providing an indication of PPI intensity. The amplified NS3t and NAP1L1 were incorporated into the pM and pVP16 vectors, respectively. These recombinant constructs, along with the pG5SEAP reporter plasmid, were co-transfected in HEK 293 T cells. SEAP activity was measured using the Great EscAPe™ SEAP Chemiluminescence Detection Kit (Clontech, USA) after 48 h of incubation.

Results

Construction and evaluation of an ovine cDNA library

The quality of the total RNA extracted from sheep lung tissue was evaluated via agarose gel electrophoresis, which revealed distinct 28S and 18S rRNA bands, with the 28S intensity being more than that of 18S rRNA (Supplementary Figure S1). The total RNA concentration was found to be 738ng/ul with an A260/A280 ratio of 2.1. Following purification, mRNA concentration was determined to be 375 ng/ul with an A260/A280 ratio of 2.2 and mRNA showed a smear of across the lane with a higher intensity from 500 bp to 6 kb, indicating its high quality for library preparation (Supplementary Figure S1). The ds cDNA synthesized from ss cDNA displayed a widespread smear before purification, however the smear ranged from 500 bp to 5,000 bp post-purification (Supplementary Figure S2). The library’s transformation efficiency was calculated to be 5.6 × 106/µg of pGADT7-rec vector, representing 1.68 × 106 independent clones. Additional parameters for evaluating library competency were also examined (Supplementary Table S1) to determine the library index. The insert size of the library was calculated from the randomly selected 50 colonies and it ranged from 350 bp to 2,500 bp with an average fragment size of 896 bp (Supplementary Figure S3). Since 49 out of 50 colonies were positive, the recombination rate was 98%, indicating the library’s complexity (Supplementary Figure S3). The PCR positive clones from the cDNA library were sequenced by Sanger Sequencing by a commercial vendor (Eurofins India), analyzed using nucleotide BLAST against Nucleotide collection (nr/nt) database and deposited in the GenBank (Supplementary Table S2). The identified protein coding sequences were annotated in GO terms, and their biological processes, molecular function and cellular compartment were determined (Supplementary Figure S4).

Construction and characterization of bait

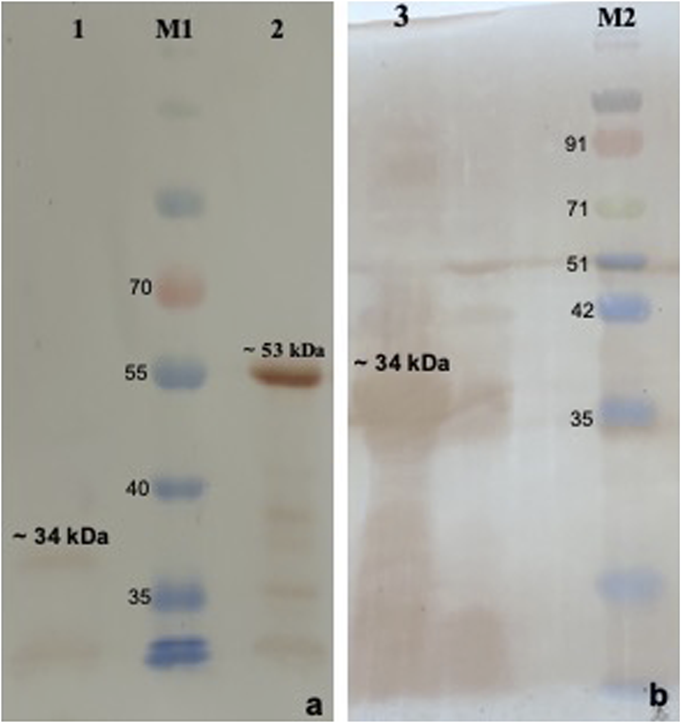
The PCR amplified NS3t amplicon of ∼345 bp was cloned into the pGBKT7-BD vector (Supplementary Figure S5). Upon transformation into Y2H Gold cells, the recombinant pGBKT7-NS3t plasmid exhibited growth only on SD/-Trp and SDO/X but not on SDO/X/A plates (Figure 1). This confirms that the bait cannot activate the reporter genes in Y2H Gold cells, in the absence of a prey protein. Additionally, on SD/-Trp plates, the transformed pGBKT7-NS3t plasmid exhibited robust growth with colony size similar to those of the pGBKT7-53 colonies, indicating that the constructed bait is not toxic to the yeast cells (Figure 1). The bait protein was successfully expressed in yeast, as evidenced by the appearance of a protein band at the expected size of ∼34 kDa (Figure 2).

FIGURE 1

FIGURE 2

Two-hybrid screening of ovine library

The mating of prey library and bait resulted in a mating efficiency of 3.14%. Approximately 4.9 × 106 clones underwent screening, and all the recorded mating quality parameters were found to be well above the recommended threshold values (Supplementary Table S3). During the preliminary screening, 65 colonies appeared blue on DDO/X/A agar plates. When subjected to a higher-stringency QDO/X/A screening, the number was reduced to 37. The identified interactors were PCR amplified, sequenced, and analyzed by BLAST search. Eight colonies were selected after excluding the repetitive clones and insert fragment <500 bp, and plasmids were rescued for further confirmation (Table 1).

TABLE 1

S. No.GeneSymbol
1Ovis aries EP300 interacting inhibitor of differentiation 1EID1
2Ovis aries ubiquitin conjugating enzyme E2 D4 (putative)UBE2D4
3Ovis aries dynactin subunit 2, transcript variant X3DCTN2
4Ovis aries protein disulfide isomerase family A member 4PDIA4
5Ovis aries nucleosome assembly protein 1 like 1, transcript variant X9NAP1L1
6Ovis ariesGolgin subfamily A member 2GOLGA2
7Ovis ariestumor susceptibility gene 101Tsg101
8Ovis aries actinin alpha 1ACTN1

List of BTV NS3t-interacting host proteins.

Confirmation of positive interactions with yeast-based assays

The interaction between the rescued prey plasmids and bait was once again confirmed through small-scale mating of individual prey and bait, along with their respective prey controls. All the prey-bait diploids formed blue colonies on QDO/X/A agar plates, whereas the prey controls did not grow in same manner (Figure 3a). Additionally, the strength of these interactions was verified through β-Gal assays. Seven out of eight prey proteins produced blue colour on X-gal-soaked filter paper, while one prey (DCTN2) did not (Supplementary Figure S6). Similarly, in the ONPG assay, seven prey-bait interactions exhibited higher β-Gal activity, while DCTN2 demonstrated very low β-Gal activity, close to its prey control, and therefore identified as negative interactor (Figure 3b). The seven prey proteins that tested positive in all yeast-based assays were recognized as true interactors and their interpretation with alternative yeast-based assays is mentioned in Table 2.

FIGURE 3

TABLE 2

Sr. No.PreySmall-scale mating (colonies on QDO/X/A agar)Colony lift filter assayONPG assay (relative β-galactosidase %)aFinal interpretation (+/−)
pGBKT7-NS3t+ pGADT7-preypGBKT7-BD+ pGADT7-preypGBKT7-NS3t+ pGADT7-preypGBKT7-BD+ pGADT7-preypGBKT7-NS3t+ pGADT7-preypGBKT7-BD+ pGADT7-prey
1EID1BlueNilBlueNil25.9480.584+
2UBE2D4BlueNilBlueNil39.0390.801+
3DCTN2Pale blueNilNilNil2.1881.87-
4PDIA4BlueNilBlueNil45.020.629+
5NAP1L1BlueNilBlueNil61.4550.78+
6GOLGA2BlueNilBlueNil21.0470.834+
7Tsg101BlueNilBlueNil49.8030.81+
8ACTN1BlueNilBlueNil10.8991.0306+

Verification of preliminary interactions with alternative yeast-based assays.

Negative interactions in all the assays are highlighted in italics.

a

Mean value.

Confirmation with GST pull-down and Co-Immunoprecipitation assay

The coding region of NAP1L1 was amplified, resulting in an expected size band of ∼1,179 bp (Supplementary Figure S7) observed during gel electrophoresis. NAP1L1 was then cloned in the pCMV-Myc-N vector and confirmed through RE digestion (Supplementary Figure S7) and sequencing. Expression analysis of the c-Myc-fused NAP1L1 in transfected HEK 293 T cell lysate revealed an anticipated band size of ∼45 kDa (Figure 4a). Further, NS3t was sub-cloned in the pGEX-4T-1 vector and its expression as a GST-fused protein in E. coli BL21 (DE3)pLysS resulted in a band with an expected size of∼39 kDa (Figure 4a). A pull-down assay was performed to evaluate the binding ability between the GST-NS3t and Myc-NAP1L1 fusion proteins. The pull-down elutes determined the formation of GST-NS3t-Myc-NAP1L1 protein complex, validated by the observation of the targeted bands with anti-GST, anti-Myc, and anti-NS3 antibodies (Figure 4b), confirming the interaction between NS3t and NAP1L1 in vitro.

FIGURE 4

Similarly, the interaction of NAP1L1 with NS3t was examined by Co-IP. As seen in Figure 5, HA-tagged NS3t co-precipitated with the Myc-tagged NAP1L1, whereas no HA-tagged protein was detected in absence of NAP1L1-Myc.

FIGURE 5

M2H assay

To validate the NS3t/NAP1L1 interaction, M2H was performed. NS3t and NAP1L1 were subcloned into the pM and pVP16 vectors, respectively, and then co-transfected in HEK 293 T cells along with reporter plasmids. The SEAP activity was measured, revealing high SEAP activity for NS3t/NAP1L1 and pM3-VP16 (Figure 6) compared to other controls, confirming the interaction between NS3t and NAP1L1.

FIGURE 6

Discussion

PPIs play a crucial role in cellular processes, and understanding and mapping these interactions can help us better understand how functional units works in biological systems. The BTV life cycle involves complex biochemical and biological interactions between viral and host cellular components (Patel and Roy, 2014). The different strains of BTV vary in term of their pathogenicity, virulence and capacity to infect mammalian and insect hosts, highlighting the significant role of host factors for their survival. Bluetongue virus (BTV) proteins extensively exploit host cellular machinery throughout the replication cycle, including entry, trafficking, egress, and immune evasion, though few such interactions have been reported till date. The outer capsid protein VP5 associates with host membrane lipid rafts via a conserved SNARE-like WHXL motif essential for viral assembly (Bhattacharya and Roy, 2008) while VP2 interacts with vimentin intermediate filaments and is required for efficient virus release (Bhattacharya et al., 2007). BTV NS3 along with NS3a engages the host exocytic pathway by binding the ESCRT-I component Tsg101 (Wirblich et al., 2006) and NS3 also interacts with the cellular trafficking protein S100A10/p11 (Celma and Roy, 2011) to regulate the virus egress. In addition, BTV suppresses innate immune responses as the core protein VP3 disrupts RIG-I signaling by targeting MAVS and the IRF3 kinase IKKε (Pourcelot et al., 2021), while the virulence factor NS4 binds Wilms’ tumor 1-associated protein (WTAP) as reported by Fablet et al. (2022). The limited understanding of how virus manipulate host cells for their benefit, as well as how they inhibit the host’s antiviral response, underscores the need for further studies on PPI on BTV.

Discrete techniques are available for studying host-virus PPI with, Y2H being the most economic and widely used one by many researchers (Sardiu and Washburn, 2011; Walhout and Vidal, 2001). Y2H has been reported to recognise the minimal interacting domains and can demonstrate even weak protein interactions (Paiano et al., 2019; Yang et al., 1995). High-quality, complex and diverse cDNA libraries are essential for conductingY2H-based screening. Previous researchers have described the construction of Y2H-compatible libraries derived from various sources for screening host factors interacting with several viruses (Cao and Yan, 2013; Mahajan et al., 2015; Xu et al., 2020; Zhao et al., 2014). Similarly, in case of BTV, Beaton et al. (2002) used a cDNA library derived from HeLa cell line to identify the host factors interacting with BTV. Recently, Fablet et al. (2022) studied BTV-NS4 interactions using a bovine cDNA library. Albeit, to date, noY2H studies have been conducted using the cDNA library derived from sheep, the most susceptible host for BTV.

In this study, we constructed a cDNA library derived from sheep lung tissue and identified NAP1L1 as an interacting partner of BTV NS3. Sheep is the most affected host, and BTV replicates primarily in vascular endothelial cells (ECs), macrophages, conventional dendritic cells (cDC), and tissues like the lung and spleen (Saminathan et al., 2020). This is why we chose sheep lung tissue for the library construction, as the virus tends to localize in greater concentrations in the lungs due to its high ECs content (DeMaula et al., 2002; Uren and Squire, 1982; Wang et al., 1988). The SMART technique used in constructing the ovine libraryemploys template switching and reverse transcription properties to enhance the length of cloned templates and the quality of the cDNA library (Kapteyn et al., 2010; Wellenreuther et al., 2004). The constructed library has more than one million independent clones and has passed all the threshold parameters indicating its suitability to screen PPI by Y2H. The ovine library can be stored at −80 °C, with a titre drop of ∼10% post-storage, allowing for future usage.

Based on our experience, using full-length NS3 as a bait was found to be challenging (Chaple et al., 2021). Previous studies have also mentioned the use of truncated NS3 (Beaton et al., 2002; Mohanty et al., 2016). The BTV NS3t bait was analyzed for toxicity, auto-activation, and expression was found to be suitable for pairing with the cDNA library. After going through the multiple rounds of strict screening and yeast-based assay, we discovered seven proteins that interacted with NS3t bait. While the NS3/Tsg101 interaction has been documented by Wirblich et al. (2006), the rest of the interactions has not been reported before. We confirmed NAP1L1 as a novel interacting partner with the NS3 protein of BTV through GST pull-down and Co-IP assay, and their interaction was also verified in mammalian cells using M2H. The SEAP activity of the NAP1L1/NS3 interaction was appreciably higher than that of the negative control and comparable to that of the positive control, indicating a legitimate interaction between NAP1L1 and BTV NS3 protein.

NAP1L1 is a multifunctional protein engaged in various cellular processes such as chromatin assembly and remodelling, nucleo-cytoplasmic shuttling, cell-cycle regulation, transcription regulation, and apoptosis (Park and Luger, 2006; Zlatanova et al., 2007). It is conserved in all eukaryotes, from yeast to humans (Ishimi and Kikuchi, 1991). Studies suggest that NAP1L1 interacts with viruses through their transcription activating proteins (Rehtanz et al., 2004; Vardabasso et al., 2008). For example, human NAP1L1 (hNAP-1) has been identified as an interaction partner for the E2 protein of Bovine Papilloma virus 1 for transcription activation using Y2H system (Rehtanz et al., 2004). Additionally, Chikungunya virus utilizes the NAP1L1 protein to facilitate its replication in vertebrates (Dominguez et al., 2021). Also, NAP1L1 has been confirmed as a binding partner for Hepatitis C virus (HCV)NS5A and NS3 protein. Besides, HCV NS5A subverts the host innate response by targeting NAP1L1, leading to downmodulation of NF-kB, which elucidates NAP1L1’s role as antiviral effector (Çevik et al., 2017; Yin et al., 2018). BTV NS3 has also been implicated in host protein shutdown and is reported as an interferon (INF) antagonist (Chauveau et al., 2013), which sheds light on NAP1L1’s potential role in BTV-mediated immune modulation. While our study identifies NAP1L1 as potential interacting partner for BTV NS3, we cannot definitively label NAP1L1 as a confirmed interacting candidate for BTV NS3 because further validation studies have not been conducted. Future research should include functional studies under wild-type, overexpressed and knock-down conditions.

In summary, we have developed a valuable useful biological product for studying interactions between hosts and BTV. We have screened this product for BTV NS3 and have identified NAP1L1 as potential interactor. The interaction between NAP1L1 and NS3 protein has been confirmed through Y2H, GST pull-down and M2H technique. Additionally, the ovine library we constructed could be useful for studying PPI of other important animal pathogens.

The commercial antibodies that are used in this study are as follows: anti-c-Myc mAb (Clontech, USA), anti-GST mAb (Invitrogen, USA), Goat anti-Mouse IgG-HRP (SantaCruz, USA) and Goat anti-Rabbit IgG-HRP (SantaCruz, USA). Polyclonal rabbit anti-NS3 antibody was kindly provided by Damian Vituor, ANSES, Paris, France.

Statements

Data availability statement

The datasets presented in this study can be found in online repositories. The names of the repository/repositories and accession number(s) can be found in the article/Supplementary Material.

Ethics statement

Ethical approval was not required for the studies on animals in accordance with the local legislation and institutional requirements because only commercially available established cell lines were used.

Author contributions

SM and GS contributed to design, methodology and writing. AC and SG conducted experiments and participated in writing. VC, SN, DM, and MR provided supervision and contribute to manuscript writing. All authors contributed to the article and approved the submitted version.

Funding

The author(s) declared that financial support was received for this work and/or its publication. This work was sponsored by the Science and Engineering Research Board (SERB) under the project ECR/2017/001106.

Acknowledgments

The authors express their gratitude to the Indian Council of Agricultural Research and SERB for funding and recognize the support of Indian Council of Medical Research in providing fellowship to PhD candidate.

Conflict of interest

The author(s) declared that this work was conducted in the absence of any commercial or financial relationships that could be construed as a potential conflict of interest.

Generative AI statement

The author(s) declared that generative AI was not used in the creation of this manuscript.

Any alternative text (alt text) provided alongside figures in this article has been generated by Frontiers with the support of artificial intelligence and reasonable efforts have been made to ensure accuracy, including review by the authors wherever possible. If you identify any issues, please contact us.

Supplementary material

The Supplementary Material for this article can be found online at: https://www.frontierspartnerships.org/articles/10.3389/av.2026.15087/full#supplementary-material

References

  • 1

    AttouiH.MaanS.AnthonyS. J.MertensP. P. C. (2009). “Bluetongue virus, other orbiviruses and other reoviruses: their relationships and taxonomy,” in Bluetongue monograph. Editors MellorP. S.BaylisM.MertensP. P. C.1st ed. (London: Elsevier/Academic Press), 2352. 10.1016/B978-012369368-6.50007-1

  • 2

    BeatonA. R.RodriguezJ.ReddyY. K.RoyP. (2002). The membrane trafficking protein calpactin forms a complex with bluetongue virus protein NS3 and mediates virus release. Proc. Natl. Acad. Sci. U. S. A.99, 1315413159. 10.1073/pnas.192432299

  • 3

    BhattacharyaB.RoyP. (2008). Bluetongue virus outer capsid protein VP5 interacts with membrane lipid rafts via a SNARE domain. J. Virol.82, 1060010612. 10.1128/JVI.01274-08

  • 4

    BhattacharyaB.NoadR. J.RoyP. (2007). Interaction between Bluetongue virus outer capsid protein VP2 and vimentin is necessary for virus egress. Virology Journal4, 7. 10.1186/1743-422X-4-7

  • 5

    BrücknerA.PolgeC.LentzeN.AuerbachD.SchlattnerU. (2009). Yeast two-hybrid, a powerful tool for systems biology. Int. J. Mol. Sci.10, 27632788. 10.3390/ijms10062763

  • 6

    CaoS.YanL. (2013). Construction of a high-quality yeast two-hybrid (Y2H) library and its application in identification of interacting proteins with key vernalization regulator TaVRN-A1 in wheat. BMC Res. Notes6, 81. 10.1186/1756-0500-6-81

  • 7

    CelmaC. C. P.RoyP. (2011). Interaction of calpactin light chain (S100A10/p11) and a viral NS protein is essential for intracellular trafficking of nonenveloped bluetongue virus. J. Virol.85, 47834791. 10.1128/JVI.02352-10

  • 8

    ÇevikR. E.CesarecM.Da Silva FilipeA.LicastroD.McLauchlanJ.MarcelloA. (2017). Hepatitis C virus NS5A targets nucleosome assembly protein NAP1L1 to control the innate cellular response. J. Virol.91, e00880e00917. 10.1128/JVI.00880-17

  • 9

    ChapleA. R.SharmaG. K.JoshiU.MuthuchelvanD.DeolP.MahajanS. (2021). Construction and characterization of the NS3 protein of bluetongue virus as A bait for application. Yeast Two-hybrid Syst.1, 7. 10.18805/IJAR.B-4567

  • 10

    ChauveauE.DoceulV.LaraE.BreardE.SailleauC.VidalainP.-O.et al (2013). NS3 of bluetongue virus interferes with the induction of type I interferon. J. Virol.87, 82418246. 10.1128/JVI.00678-13

  • 11

    DeMaulaC. D.LeuteneggerC. M.JutilaM. A.MacLachlanN. J. (2002). Bluetongue virus-induced activation of primary bovine lung microvascular endothelial cells. Vet. Immunol. Immunopathol.86, 147157. 10.1016/s0165-2427(02)00012-0

  • 12

    DominguezF.ShiliaevN.LukashT.AgbackP.PalchevskaO.GouldJ. R.et al (2021). NAP1L1 and NAP1L4 binding to hypervariable domain of Chikungunya virus nsP3 protein is bivalent and requires phosphorylation. J. Virol.95, e0083621. 10.1128/JVI.00836-21

  • 13

    DuanY.YangZ.BellisG.XieJ.LiL. (2022). Full genome sequencing of three sedoreoviridae viruses isolated from culicoidesspp.(Diptera, ceratopogonidae) in China. Viruses14 (5), 971. 10.1051/parasite/2022027

  • 14

    FabletA.KundlaczC.DupréJ.HirchaudE.PosticL.SailleauC.et al (2022). Comparative virus-host protein interactions of the bluetongue virus NS4 virulence factor. Viruses14, 182. 10.3390/v14020182

  • 15

    FieldsS.SongO. (1989). A novel genetic system to detect protein-protein interactions. Nature340, 245246. 10.1038/340245a0

  • 16

    GietzR. D.SchiestlR. H.WillemsA. R.WoodsR. A. (1995). Studies on the transformation of intact yeast cells by the LiAc/SS-DNA/PEG procedure. Yeast Chichester Engl.11, 355360. 10.1002/yea.320110408

  • 17

    GladueD. P.O’DonnellV.Baker-BranstetterR.HolinkaL. G.PachecoJ. M.Fernandez-SainzI.et al (2012). Foot-and-mouth disease virus nonstructural protein 2C interacts with Beclin1, modulating virus replication. J. Virol.86, 1208012090. 10.1128/JVI.01610-12

  • 18

    HanZ.HartyR. N. (2004). The NS3 protein of bluetongue virus exhibits viroporin-like properties. J. Biol. Chem.279, 4309243097. 10.1074/jbc.M403663200

  • 19

    IshimiY.KikuchiA. (1991). Identification and molecular cloning of yeast homolog of nucleosome assembly protein I which facilitates nucleosome assembly in vitro. J. Biol. Chem.266, 70257029.

  • 20

    JanowiczA.CaporaleM.ShawA.GullettaS.Di GialleonardoL.RatinierM.et al (2015). Multiple genome segments determine virulence of bluetongue virus serotype 8. J. Virol.89, 52385249. 10.1128/JVI.00395-15

  • 21

    KapteynJ.HeR.McDowellE. T.GangD. R. (2010). Incorporation of non-natural nucleotides into template-switching oligonucleotides reduces background and improves cDNA synthesis from very small RNA samples. BMC Genomics11, 413. 10.1186/1471-2164-11-413

  • 22

    LabadieT.SullivanE.RoyP. (2020). Multiple routes of bluetongue virus egress. Microorganisms8, 965. 10.3390/microorganisms8070965

  • 23

    LiaoY.WangJ.JaehnigE. J.ShiZ.ZhangB. (2019). WebGestalt 2019: gene set analysis toolkit with revamped UIs and APIs. Nucleic Acids Res.47, W199W205. 10.1093/nar/gkz401

  • 24

    López-OlveraJ. R.FalconiC.Férnandez-PachecoP.Fernández-PineroJ.SánchezM. A.PalmaA.et al (2010). Experimental infection of European red deer (Cervus elaphus) with bluetongue virus serotypes 1 and 8. Vet. Microbiol.145, 148152. 10.1016/j.vetmic.2010.03.012

  • 25

    MaanS.MaanN. S.BelaganahalliM. N.PotgieterA. C.KumarV.BatraK.et al (2016). Development and evaluation of real time RT-PCR assays for detection and typing of bluetongue virus. PloS One11, e0163014. 10.1371/journal.pone.0163014

  • 26

    MaclachlanN. J.DrewC. P.DarpelK. E.WorwaG. (2009). The pathology and pathogenesis of bluetongue. J. Comp. Pathol.141, 116. 10.1016/j.jcpa.2009.04.003

  • 27

    MahajanS.SharmaG. K.MaturaR.SubramaniamS.MohapatraJ. K.PattnaikB. (2015). Construction and characterization of yeast two-hybrid cDNA library derived from LFBK cell line. Biol. J. Int. Assoc. Biol. Stand.43, 202208. 10.1016/j.biologicals.2015.01.003

  • 28

    MahajanS.SharmaG. K.BoraK.PattnaikB. (2021). Identification of novel interactions between host and non-structural protein 2C of foot-and-mouth disease virus. J. Gen. Virol.102. 10.1099/jgv.0.001577

  • 29

    MatthijnssensJ.AttouiH.BányaiK.BrussaardC. P. D.DanthiP.del VasM.et al (2022). ICTV Virus taxonomy profile: sedoreoviridae 2022. J. General Virology103, 001782. 10.1099/jgv.0.001782

  • 30

    MenziesF. D.McCulloughS. J.McKeownI. M.ForsterJ. L.JessS.BattenC.et al (2008). Evidence for transplacental and contact transmission of bluetongue virus in cattle. Vet. Rec.163, 203209. 10.1136/vr.163.7.203

  • 31

    MohantyN. N.ChackoN.BiswasS. K.ChandK.PandeyA. B.MondalB.et al (2016). Production of recombinant non-structural protein-3 hydrophobic domain deletion (NS3ΔHD) protein of bluetongue virus from prokaryotic expression system as an efficient diagnostic reagent. Biol. J. Int. Assoc. Biol. Stand.44, 352359. 10.1016/j.biologicals.2016.07.001

  • 32

    MortolaE.NoadR.RoyP. (2004). Bluetongue virus outer capsid proteins are sufficient to trigger apoptosis in mammalian cells. J. Virol.78, 28752883. 10.1128/jvi.78.6.2875-2883.2004

  • 33

    OhtaK.MatsumotoY.NishioM. (2018). Human parainfluenza virus type 2 V protein inhibits caspase-1. J. Gen. Virol.99, 501511. 10.1099/jgv.0.001037

  • 34

    OsburnB. I.JohnsonR. T.SilversteinA. M.PrendergastR. A.JochimM. M.LevyS. E. (1971). Experimental viral-induced congenital encephalopathies. II. The pathogenesis of bluetongue vaccine virus infection in fetal lambs. Lab. Investig. J. Tech. Methods Pathol.25, 206210.

  • 35

    PaianoA.MargiottaA.De LucaM.BucciC. (2019). Yeast two-hybrid assay to identify interacting proteins. Curr. Protoc. Protein Sci.95, e70. 10.1002/cpps.70

  • 36

    ParkY.-J.LugerK. (2006). Structure and function of nucleosome assembly proteins. Biochem. Cell Biol. Biochim. Biol. Cell.84, 549558. 10.1139/o06-088

  • 37

    PatelA.RoyP. (2014). The molecular biology of bluetongue virus replication. Virus Res.182, 520. 10.1016/j.virusres.2013.12.017

  • 38

    PourcelotM.KundlaczC.CaignardG.FabletA.MoraesR. A. D. S.LégerT.et al (2019). Virus-host interactions for Bluetongue virus and characterization of a new NS3 function. Access Microbiol.1. 10.1099/acmi.imav2019.po0004

  • 39

    PourcelotM.Amaral MoraesR.FabletA.BréardE.SailleauC.ViarougeC.et al (2021). The VP3 protein of bluetongue virus associates with the MAVS complex and interferes with the RIG-I-Signaling pathway. Viruses13, 230. 10.3390/v13020230

  • 40

    RatinierM.CaporaleM.GolderM.FranzoniG.AllanK.NunesS. F.et al (2011). Identification and characterization of a novel non-structural protein of bluetongue virus. PLoSPathog7, e1002477. 10.1371/journal.ppat.1002477

  • 41

    RehtanzM.SchmidtH.-M.WarthorstU.StegerG. (2004). Direct interaction between nucleosome assembly protein 1 and the papillomavirus E2 proteins involved in activation of transcription. Mol. Cell. Biol.24, 21532168. 10.1128/MCB.24.5.2153-2168.2004

  • 42

    RiesC.VögtlinA.HüssyD.JandtT.GobetH.HilbeM.et al (2021). Putative novel atypical BTV serotype “36” identified in small ruminants in Switzerland. Viruses13, 721. 10.3390/v13050721

  • 43

    SaminathanM.SinghK. P.VineethaS.MaityM.BiswasS. K.ManjunathareddyG. B.et al (2020). Virological, immunological and pathological findings of transplacentally transmitted bluetongue virus serotype 1 in IFNAR1-blocked mice during early and mid-gestation. Sci. Rep.10, 2164. 10.1038/s41598-020-58268-0

  • 44

    SardiuM. E.WashburnM. P. (2011). Building protein-protein interaction networks with proteomics and informatics tools. J. Biol. Chem.286, 2364523651. 10.1074/jbc.R110.174052

  • 45

    StewartM.HardyA.BarryG.PintoR. M.CaporaleM.MelziE.et al (2015). Characterization of a second open reading frame in genome segment 10 of bluetongue virus. J. Gen. Virol.96, 32803293. 10.1099/jgv.0.000267

  • 46

    UrenM. F.SquireK. R. (1982). The clinico-pathological effect of bluetongue virus serotype 20 in sheep. Aust. Vet. J.58, 1115. 10.1111/j.1751-0813.1982.tb00570.x

  • 47

    van der SluijsM. T. W.de SmitA. J.MoormannR. J. M. (2016). Vector independent transmission of the vector-borne bluetongue virus. Crit. Rev. Microbiol.42, 5764. 10.3109/1040841X.2013.879850

  • 48

    VardabassoC.ManganaroL.LusicM.MarcelloA.GiaccaM. (2008). The histone chaperone protein nucleosome Assembly Protein-1 (hNAP-1) binds HIV-1 Tat and promotes viral transcription. Retrovirology5, 8. 10.1186/1742-4690-5-8

  • 49

    WalhoutA. J.VidalM. (2001). High-throughput yeast two-hybrid assays for large-scale protein interaction mapping. Methods San. Diego Calif.24, 297306. 10.1006/meth.2001.1190

  • 50

    WangL.KempM. C.RoyP.CollissonE. W. (1988). Tissue tropism and target cells of bluetongue virus in the chicken embryo. J. Virol.62, 887893. 10.1128/JVI.62.3.887-893.1988

  • 51

    WellenreutherR.SchuppI.PoustkaA.WiemannS., and German cDNA Consortium (2004). SMART amplification combined with cDNA size fractionation in order to obtain large full-length clones. BMC Genomics5, 36. 10.1186/1471-2164-5-36

  • 52

    WirblichC.BhattacharyaB.RoyP. (2006). Nonstructural protein 3 of bluetongue virus assists virus release by recruiting ESCRT-I protein Tsg101. J. Virol.80, 460473. 10.1128/JVI.80.1.460-473.2006

  • 53

    XuY.ZhouJ.LiuQ.LiK.ZhouY. (2020). Construction and characterization of a high-quality cDNA library of Cymbidium faberi suitable for yeast one- and two-hybrid assays. BMC Biotechnol.20, 4. 10.1186/s12896-020-0599-2

  • 54

    YangM.WuZ.FieldsS. (1995). Protein-peptide interactions analyzed with the yeast two-hybrid system. Nucleic Acids Res.23, 11521156. 10.1093/nar/23.7.1152

  • 55

    YinP.LiY.ZhouL.ZhangL. (2018). NAP1L1 regulates hepatitis C virus entry and interacts with NS3. Virol. Sin.33, 205208. 10.1007/s12250-018-0006-5

  • 56

    ZhaoW.LiX.LiuW.-H.ZhaoJ.JinY.-M.SuiT.-T. (2014). Construction of high-quality Caco-2 three-frame cDNA library and its application to yeast two-hybrid for the human astrovirus protein-protein interaction. J. Virol. Methods205, 104109. 10.1016/j.jviromet.2014.05.007

  • 57

    ZlatanovaJ.SeebartC.TomschikM. (2007). Nap1: taking a closer look at a juggler protein of extraordinary skills. FASEB J. Off. Publ. Fed. Am. Soc. Exp. Biol.21, 12941310. 10.1096/fj.06-7199

Summary

Keywords

bait, bluetongue, cDNA library, NAP1L1, sheep lung

Citation

Chaple AR, Sharma GK, Chander V, Ganie S, Nandi S, Muthuchelvan D, Ramakrishnan MA and Mahajan S (2026) Identification of host proteins interacting with NS3 protein of Bluetongue virus. Acta Virol. 70:15087. doi: 10.3389/av.2026.15087

Received

12 June 2025

Revised

20 January 2026

Accepted

04 February 2026

Published

24 February 2026

Volume

70 - 2026

Edited by

Viktória Čabanová, Slovak Academy of Sciences, Slovakia

Reviewed by

Vladimir Zelnik, Slovak Academy of Sciences, Slovakia

Pablo Daniel Thomas, Slovak Academy of Sciences, Slovakia

Updates

Copyright

*Correspondence: Sonalika Mahajan,

Disclaimer

All claims expressed in this article are solely those of the authors and do not necessarily represent those of their affiliated organizations, or those of the publisher, the editors and the reviewers. Any product that may be evaluated in this article or claim that may be made by its manufacturer is not guaranteed or endorsed by the publisher.

Outline

Figures

Cite article

Copy to clipboard


Export citation file


Share article