In the published article, there was an error in the legends for Figures 1–4, as published. The legends incorrectly refer to “Four invasive ductal carcinomas,” each figure should instead refer to just one invasive carcinoma. The corrected legends appear below.
FIGURE 1

An invasive carcinoma of the breast tested for; (A) estrogen receptors, (B) progesterone receptors, (C) human epidermal growth factor receptor-2, (D) Ki-67 proliferating antigen. Following immunohistochemical testing and scoring by all ten participating laboratories, the median scores for the tumor were; (A, ER 0), (B PR 0), (C HER2 3+), (D Ki67 40%). Magnification ×20 (all images).
FIGURE 2

An invasive carcinoma of the breast tested for; (A) estrogen receptors, (B) progesterone receptors, (C) human epidermal growth factor receptor-2, (D) Ki-67 proliferating antigen. Following immunohistochemical testing and scoring by all ten participating laboratories, the median scores for the tumor were; (A, ER 0), (B PR 0), (C HER2 1+), (D Ki67 23%). Magnification ×20 (all images).
FIGURE 3

An invasive carcinoma of the breast tested for; (A) estrogen receptors, (B) progesterone receptors, (C) human epidermal growth factor receptor-2, (D) Ki-67 proliferating antigen. Following immunohistochemical testing and scoring by all ten participating laboratories, the median scores for the tumor were; (A, ER 8), (B PR 5), (C HER2 1+), (D Ki67 10%). Magnification ×20 (all images).
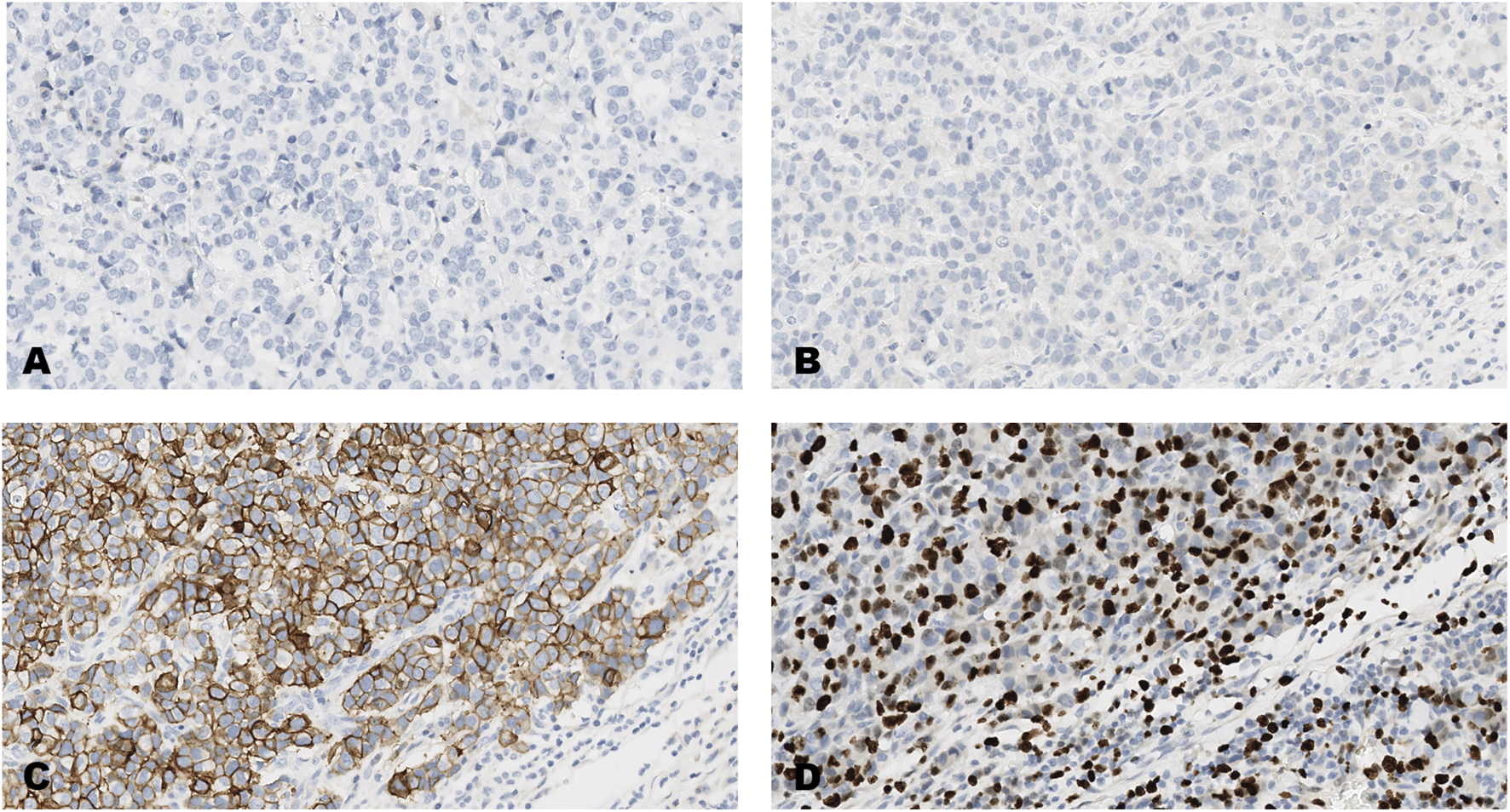
FIGURE 4

An invasive carcinoma of the breast tested for; (A) estrogen receptors, (B) progesterone receptors, (C) human epidermal growth factor receptor-2, (D) Ki-67 proliferating antigen. Following immunohistochemical testing and scoring by all ten participating laboratories, the median scores for each tumor were; (A ER 8), (B PR 8), (C HER2 0), (D Ki67 2%). Magnification ×20 (all images).
In the published article, the reference for Do, Whittaker and David, 2024 was incorrectly listed as reference number 37, and the reference for GLOBOCAN, 2022 was incorrectly listed as reference number 38. These should be reversed.
A correction has been made to Materials and Methods, Tissue Samples. At the end of the sentence “It was recommended that fixation time should not be shorter than 8 h and no longer than 48 h”, reference 22 was erroneously cited, instead reference 21 should be cited.
A correction has also been made to section Materials and Methods, Inter-Laboratory Testing. At the end of the sentence “Allred Score of 4, 5, 6, 7, or 8 are essentially equivalent in their reliability of predicting a favorable response to hormonal therapies” reference 21 was erroneously cited, instead reference 22 should be cited.
The authors apologize for these error and state that this does not change the scientific conclusions of the article in any way. The original article has been updated.
Generative AI Statement
Any alternative text (alt text) provided alongside figures in this article has been generated by Frontiers with the support of artificial intelligence and reasonable efforts have been made to ensure accuracy, including review by the authors wherever possible. If you identify any issues, please contact us.
Summary
Keywords
ER, PR, HER2, Ki67, breast cancer
Citation
Tu TA, Tin NV, Rhodes A, Anh DBQ, Dao LTH, Linh NTT, Nhu DTK, Nhung NTH, Cam LT, Hanh NTM, Cuong PN, Toan NT, Tuyen NK, Khanh DD, Ngan TTT, Thy LKM, Thanh NV, Tuan NQ, Nguyen VN, Nhu LTT and Bao NDC (2025) Corrigendum: Reproducibility of Immunohistochemical Testing of Estrogen Receptors, Progesterone Receptors, Human Epidermal Growth Factor Receptor-2 (HER2) and Ki-67 in Vietnam. Br. J. Biomed. Sci. 82:15864. doi: 10.3389/bjbs.2025.15864
Received
07 November 2025
Revised
07 November 2025
Accepted
18 November 2025
Published
02 December 2025
Volume
82 - 2025
Updates
Copyright
© 2025 Tu, Tin, Rhodes, Anh, Dao, Linh, Nhu, Nhung, Cam, Hanh, Cuong, Toan, Tuyen, Khanh, Ngan, Thy, Thanh, Tuan, Nguyen, Nhu and Bao.
This is an open-access article distributed under the terms of the Creative Commons Attribution License (CC BY). The use, distribution or reproduction in other forums is permitted, provided the original author(s) and the copyright owner(s) are credited and that the original publication in this journal is cited, in accordance with accepted academic practice. No use, distribution or reproduction is permitted which does not comply with these terms.
*Correspondence: Anthony Rhodes, carhodes60@gmail.com
Disclaimer
All claims expressed in this article are solely those of the authors and do not necessarily represent those of their affiliated organizations, or those of the publisher, the editors and the reviewers. Any product that may be evaluated in this article or claim that may be made by its manufacturer is not guaranteed or endorsed by the publisher.